鹿児島中央駅・天文館 高見馬場電停近くの痛みの少ない歯医者さん

 

診療時間

×

   ○:9:00~17:30          ●:9:00~16:00           

休診日:日曜、祝日、年末年始

年内は 12/29 13:00まで診療

12/30~1/4まで休診

※駐車場あり(当院ビル隣「西千石パーキング」)

※全席個室

※キャスレス決済可

※デンタルローン(自由診療)あり

※マイナンバーカード(スマホ対応)利用可

 

 

<米国式根管治療症例>

当院での自費根管治療症例をご紹介します。

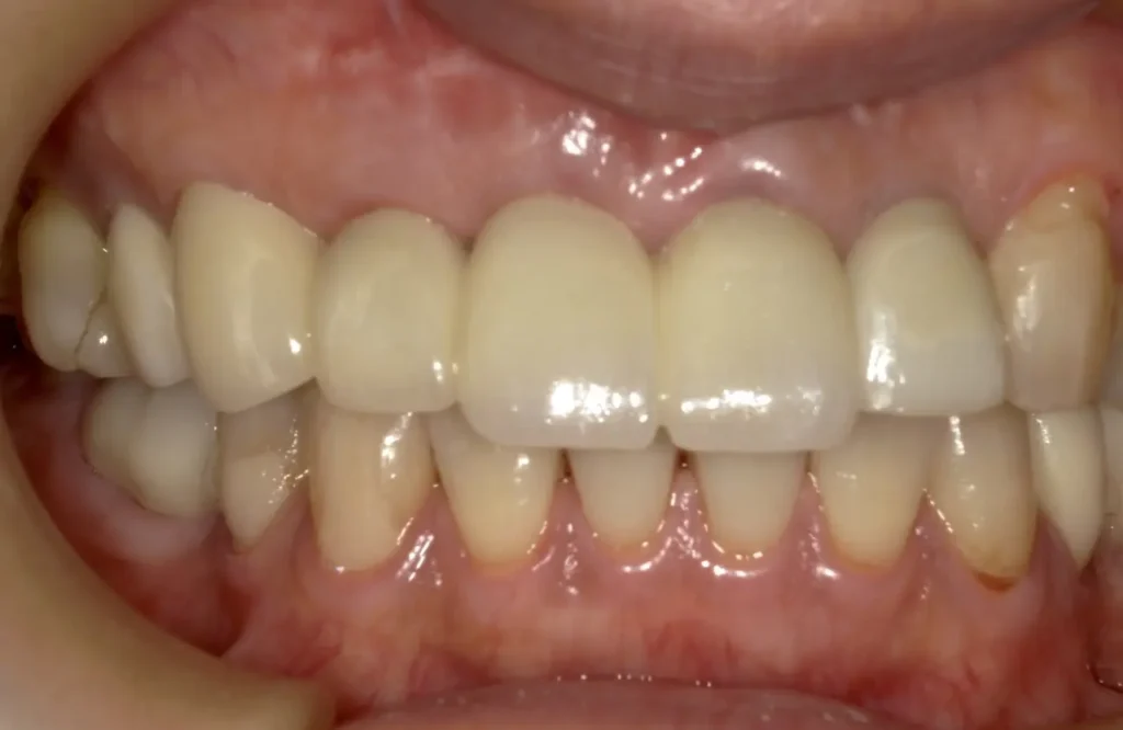
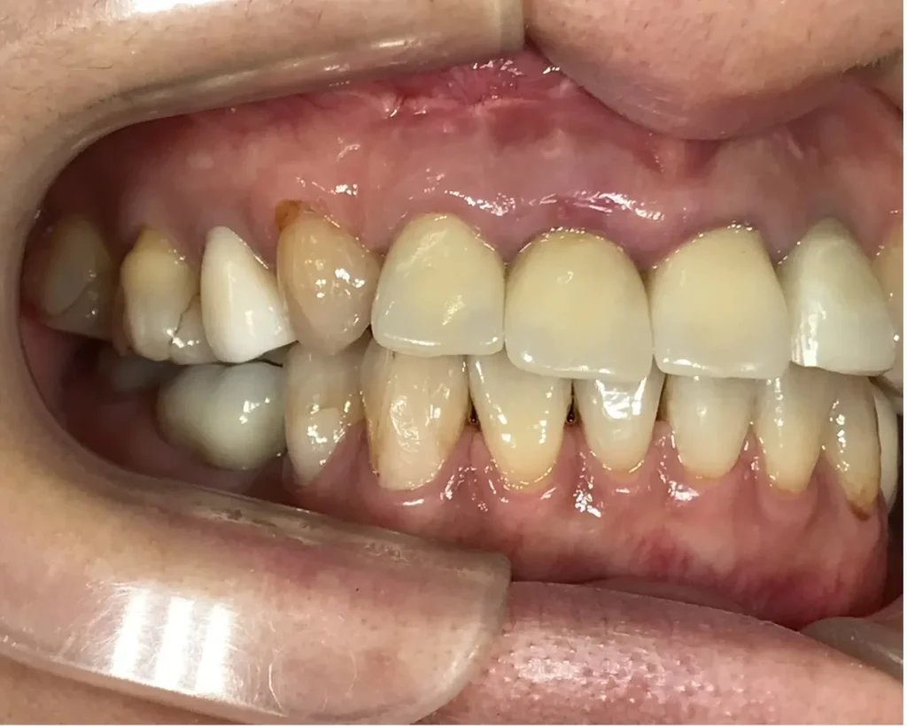
自費根管治療症例1 治療前

左上の奥歯の腫れと噛んだ時の痛みで来院。

口腔内写真
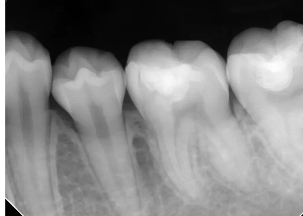
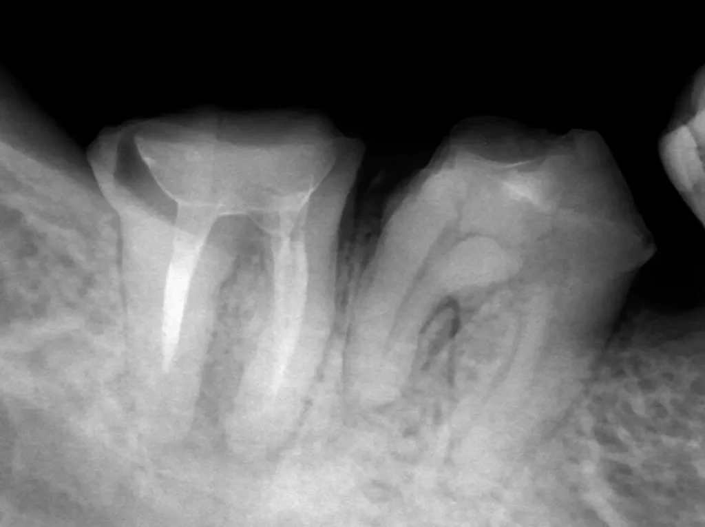
レントゲン写真

根の先にうみが溜まっています

CT画像

副鼻腔の骨の壁を突き破っています

精密根管治療(自費根管治療)治療開始

精密根管治療(自費根管治療)、治療回数4回、治療期間約1ヶ月、治療費(大臼歯再治療)15万3千円+4,500円X4回X2本  ジルコニアクラウン6万9千円X2本

治療後

症状はすべて改善、経過3年後

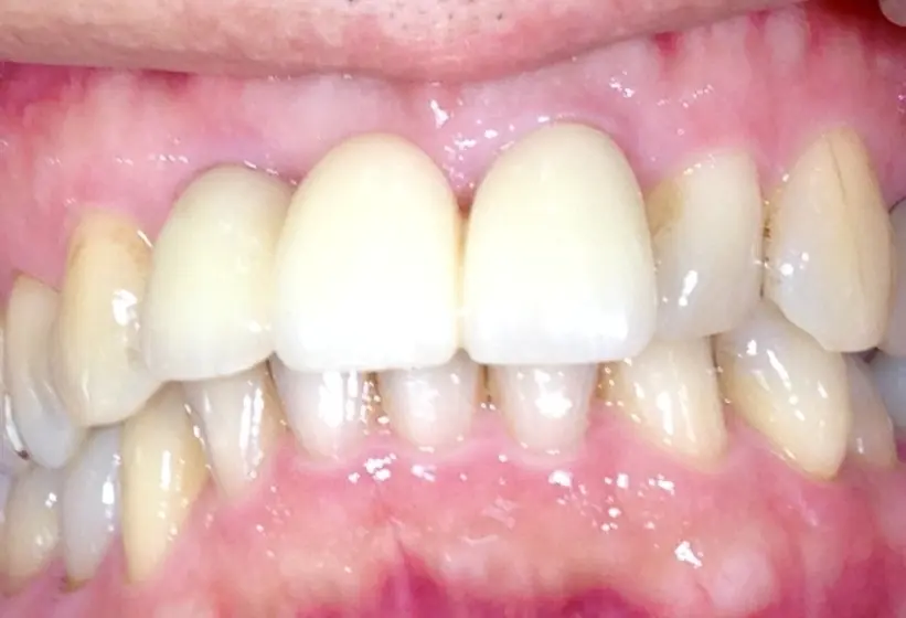
口腔内写真
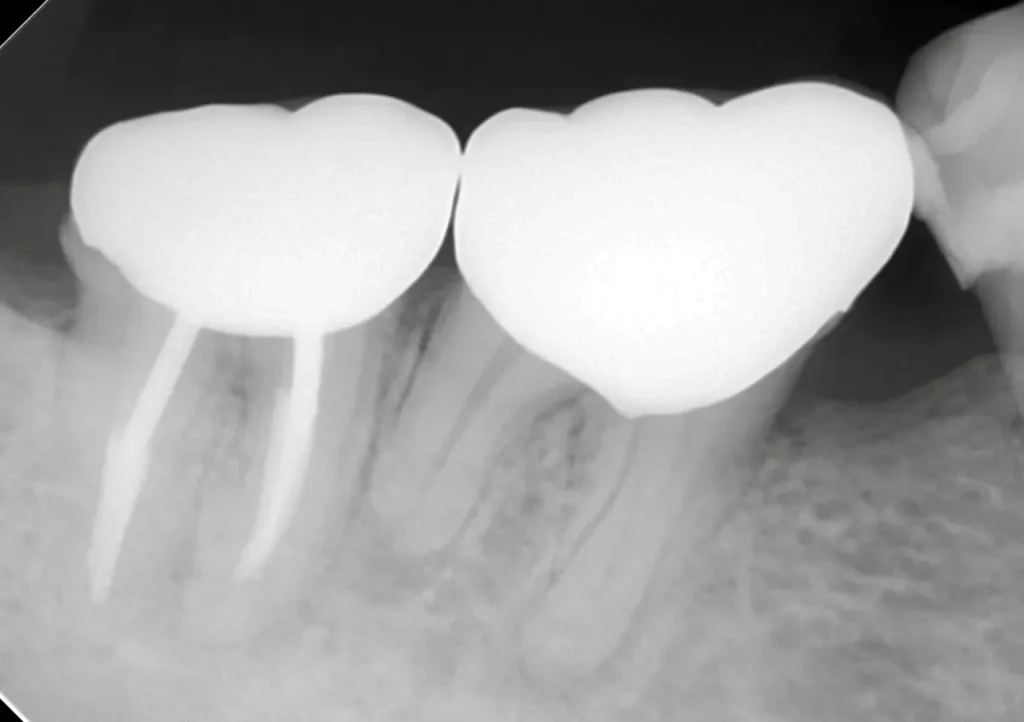
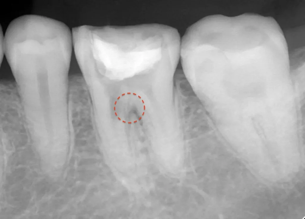
術後3年レントゲン写真

根の周りが白っぽく骨ができています

術後3年CT画像

骨の穴は完全に消えました

治療の特徴

治療は1回1時間程度で複数回かかり、治療費も保険外治療ですが、副作用もなく歯の保存のためには最良な治療です。マイクロスコープを使用した精密根管治療では、ラバーダムシートの使用、無菌的操作が絶対条件です。

精密根管治療は、初めての根の治療(初回治療)は、4〜5年後成功率90%以上、前医で治療済み2回目の治療(再治療)は成功率60〜70%程度です。我が国の根管治療(保険治療)は50%程度、再治療は20~30%程度と言われます。

自費根管治療症例2 治療前

左下の奥歯が根の治療を受けているが治らない。

初診時

管の分かれている部分に根の治療による穿孔がありました

術中

穿孔部分の封鎖と通常の根管治療を行いました

術後

症状は、完全に消えて、穿孔部分の封鎖と確実な清掃、充填が確認できます

精密根管治療(自費根管治療)治療開始

精密根管治療(自費根管治療)、治療回数3回、治療期間約1ヶ月、治療費(大臼歯再治療)15万3千円+4,500円X3回  ジルコニアクラウン6万9千円

治療後

症状はすべて改善、経過2年後

術後

症状もレントゲン上の炎症も全く再発はありません

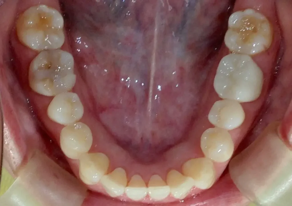
口腔内写真

向かって奥から2番目審美性も機能も維持されています

治療の特徴

治療は1回1時間程度で複数回。根の壁の封鎖材料は、MTAセメント。副作用もなく穿孔部分位の封鎖には最良な材料です。そのほか、バイオセラミック系の生体活性材料も現在は使用します。マイクロスコープを使用した精密根管治療では、ラバーダムシートの使用、無菌的操作が絶対条件です。

自費根管治療症例3 治療前

紹介元で半年間根の治療を受けているがうずく痛みがとれないので紹介されて受診

初診時

根の先が黒ずんで炎症があります

術中

症状も消え根の先まで清掃できました

術後

理想的に終了し土台も作製、被せ物は依頼元で行うことになりました

精密根管治療(自費根管治療)治療開始

精密根管治療(自費根管治療)、治療回数3回、治療期間約1ヶ月、治療費(大臼歯再治療)15万3千円+4,500円X3回  クラウン補綴処置は他院で継続治療

根の治療を専門的に行い、クラウンなどかぶせ物は他院で行うことも可能です。

治療後

症状はすべて改善、経過4年後

術後4年

症状もレントゲン上の炎症も全く再発はありません

マイクロスコープ

肉眼やルーペでは見えない世界が広がります

治療の特徴

精密な根管治療にはマイクロスコープの使用は欠かせませんが、使用したから大丈夫というわけではありません。根管治療では、ラバーダムシートの使用、無菌的操作と生物学的な裏付けのある確実な治療が大切です。

自費根管治療症例4 治療前(外科的歯内療法)

「前歯にニキビみたいなものができた」

初診時

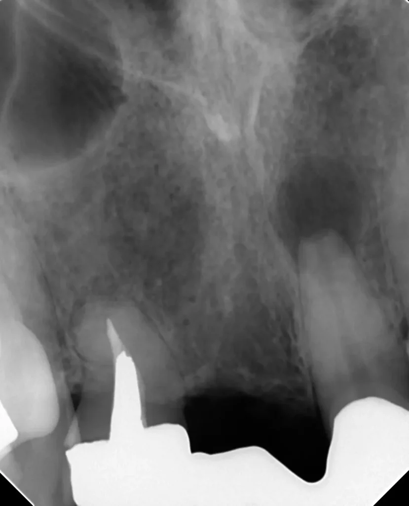
離れていますが真ん中が原因歯です

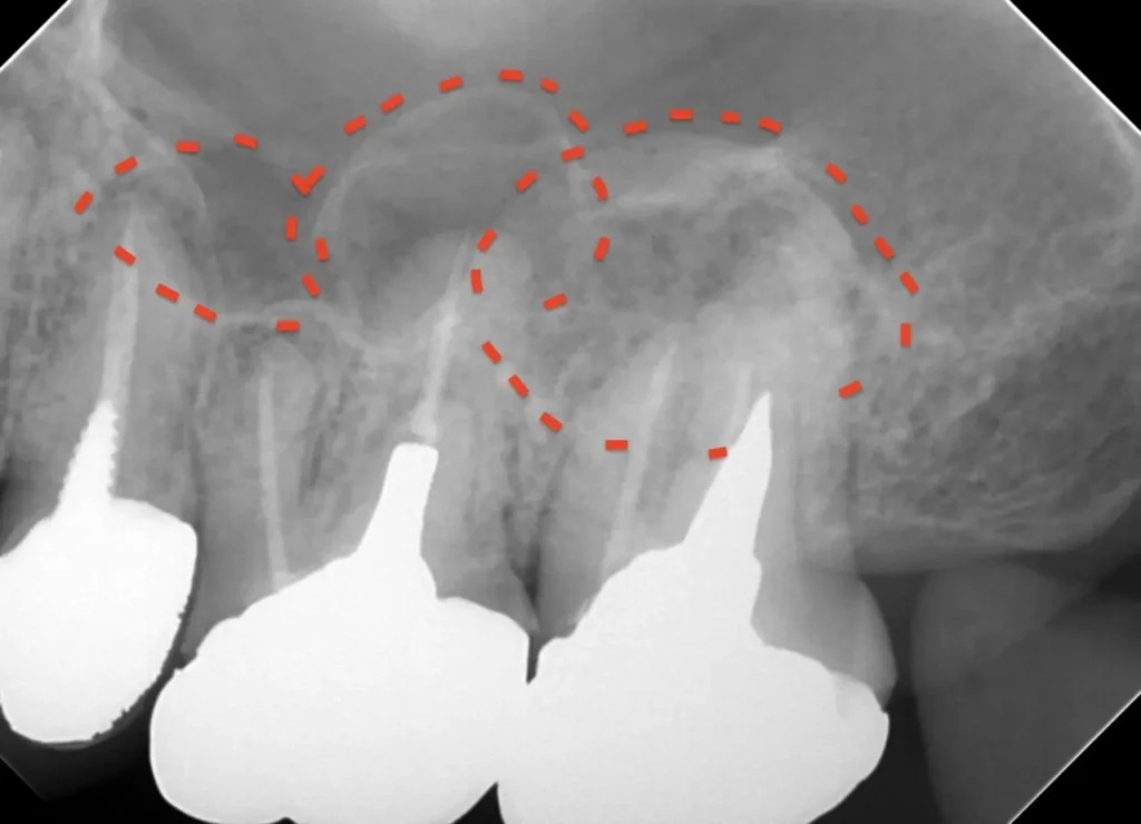
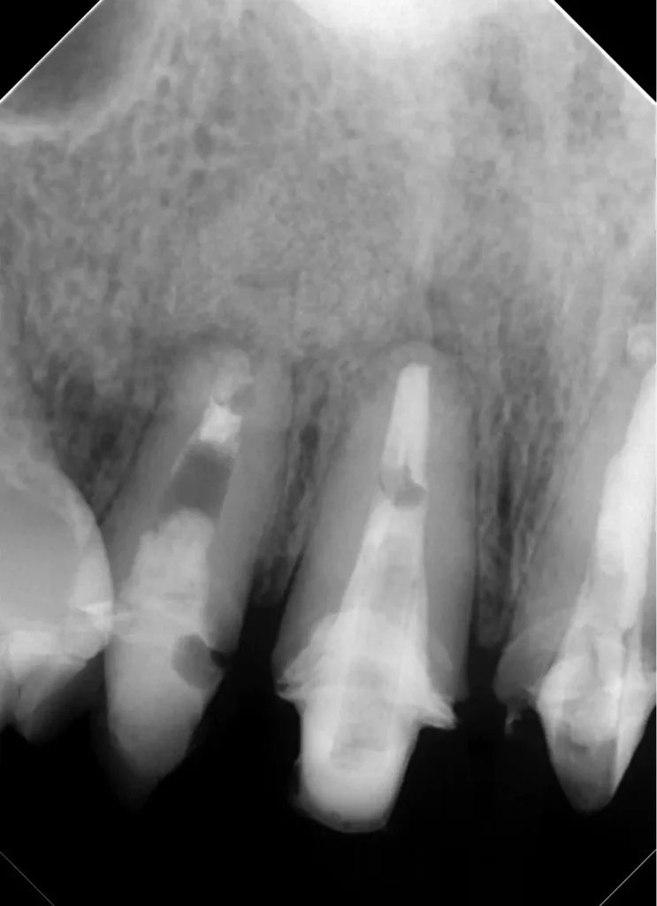
初診時レントゲン写真

治療はしてありますが、根の先が黒ずんで見えます

CT画像

唇側の顎骨が溶けて穴が空いています

精密根管治療(自費根管治療)治療開始

精密根管治療(自費根管治療)、治療回数2回、治療期間約2週間、治療費6万8千円+4,500円X1回 

歯根端切除術逆根管充填処置(外科的根管治療)

歯肉への切開が必要です、ウミの袋も取り出します

術直後レントゲン写真

外科的歯根端切除術逆根管充填(自費根管治療)、治療回数2回、治療期間約2週間、治療費6万8千円+4,500円X1回    ジルコニアクラウン(審美的前歯用)14万円

治療後

症状はすべて改善、経過1年後

術後1年口腔内写真

ウミの出口もなくなり外科的処置の跡はほとんどなく、被せ物も天然歯と見分けつきません

術後1年レントゲン写真

溶けて穴の空いた骨もすっかり回復して良好な状態です

治療の特徴

外科的歯内療法は、通常の歯の中から行う一般的な根管治療だけでは治りが望めなかったり、それの経過が悪い場合や被せ物を外せず一般的な根の治療が行えない場合に行います。根尖病変(根の先の周囲の炎症)はバイ菌が原因であることを考えると、まずは、通常の治療で根管内を清掃充填治療してから行った方が確実です。大きな副作用はありませんが、外科的処置が特徴であり、たまに切開線が歯茎に残ることがあります。確実に処置できれば90%以上の確率で治癒します。今回の症例は期間的制約から2段構えの治療計画で行いました。

自費根管治療症例5 治療前(抜髄)

「奥歯ひどくしみて痛い。」(18歳女性)

初診時

前回の治療の時にすでにむし歯が深かったようです

むし歯除去後の写真

悪いところを全て除去した結果、神経が露出していました、根管治療が必要です

精密根管治療(自費根管治療)治療開始

精密根管治療(自費根管治療)、治療回数2回、治療期間約1週間、治療費(大臼歯初期治療)12万3千円+4,500円X1回  クラウン補綴処置は他院で継続治療

根の治療を専門的に行い、クラウンなどかぶせ物は他院で行うことも可能です。

治療後

症状は消失、補綴処置は他院にて予定。

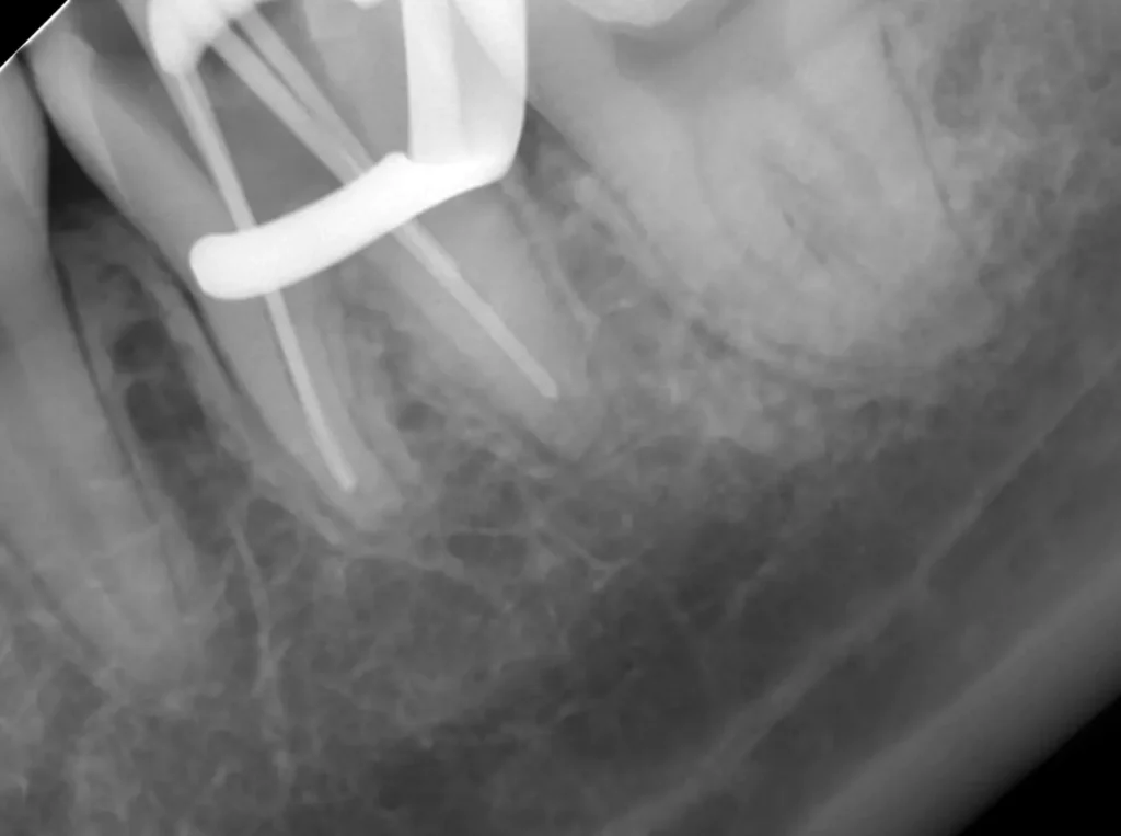
術中(ファイル試適)
レントゲン写真

ラバーダムシートを固定する金具が写っています、シートはバイ菌が
入らないように撮影時にも外しません

術中(ポイント試適)

充填物がきちっとできるように何度も確認します

術後レントゲン写真

見た目よりもいかに無菌的に行えたかが大切です、見た目もきちっとできました

治療の特徴

根管治療では、ラバーダムシートの使用、無菌的操作と生物学的な裏付けのある確実な治療が大切です。特に初めての治療は、将来再治療にならないように無菌的な操作に気を使いします。根管治療は、実は、うまく行かなかった症例よりも初めての根の治療をしっかりすることに意義があります。神経を抜く治療時は、このようなスキルを身につけた歯内療法専門医による根管治療をご検討ください。

自費根管治療症例6 治療前(外科的歯内療法)

「前歯がなんとなく違和感がある」

初診時

以前の治療の切開の跡がわかります

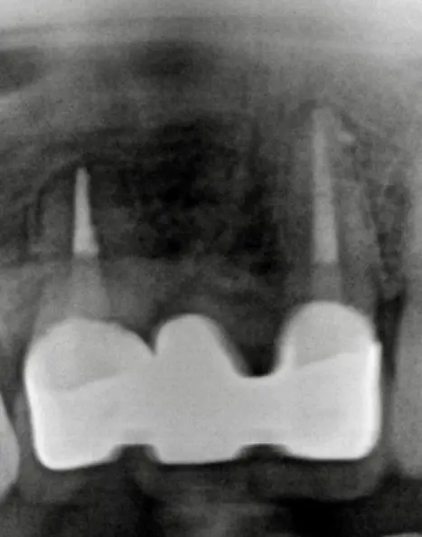
初診時レントゲン写真

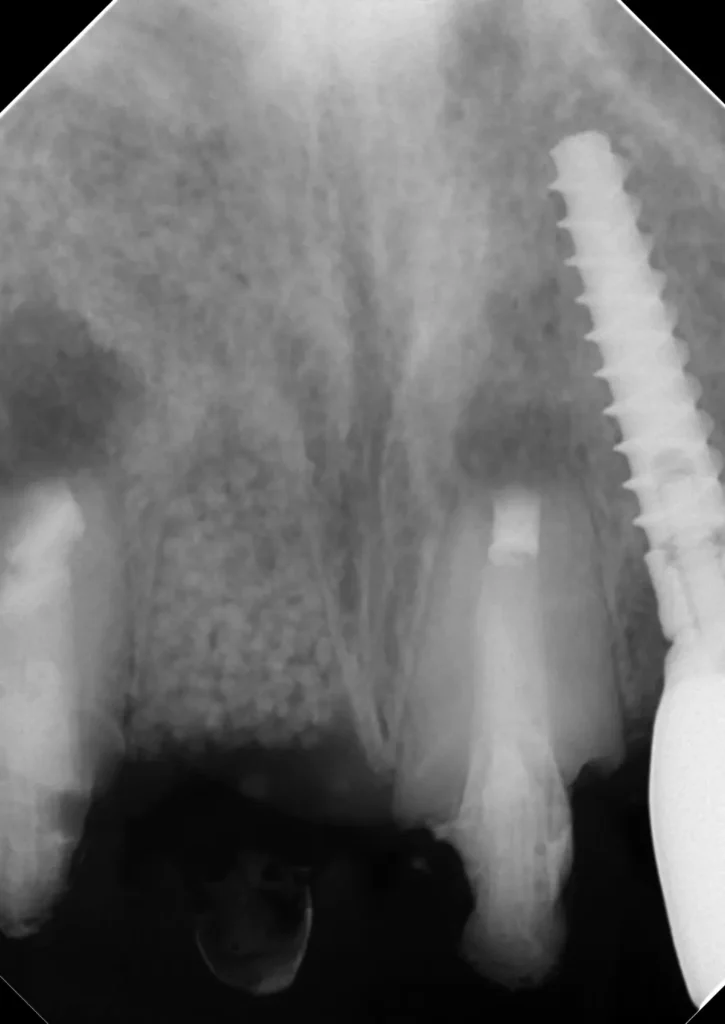
インプラント隣の歯の根の先に人工材料が逸出しています。

初診時レントゲン写真2

右側(向かって左)の歯は以前、他院で外科的歯内療法を受けています

精密根管治療(自費根管治療)治療開始

精密根管治療(自費根管治療)、治療回数2回X2本、治療期間約2週間、治療費6万8千円+4,500円X1回 X2歯

術中レントゲン写真

右側1番(真ん中)の歯は歯根破折のため抜歯になりました(コツ補填材を抜歯窩に充填)

術中レントゲン写真

2本とも歯根端切除術を行いました

外科的歯根端切除術逆根管充填(自費根管治療)、治療回数2回、治療期間約2週間、治療費6万8千円x2本   オールセラミクスクラウンブリッジ3本 17万円X3  単冠17万円X1

治療後

症状はすべて改善、経過1年後

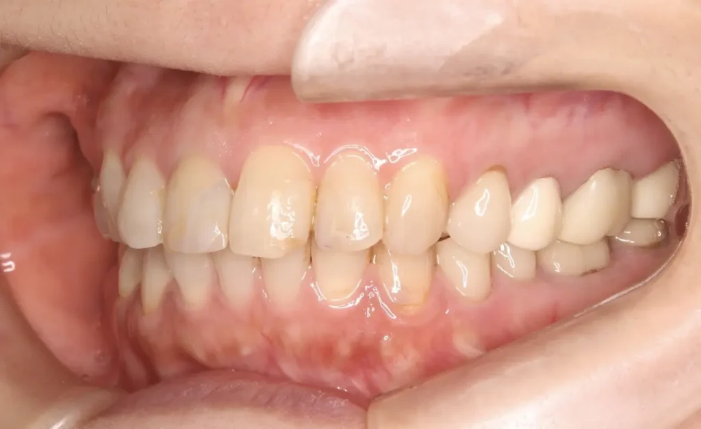
術後1年口腔内写真

外科的処置の跡はほとんどなく、ブリッジも自然な感じで歯がないようには見えません

治療の特徴

歯根破折は残念ながら抜歯しか方法はありません。外科的歯内療法は切開線が歯茎が下がったり、切開の跡が残ったりしますが、適切にデザインすればう甘く行くことがあります。今回は治療前とほとんど変わらず、歯肉の審美を損なわずにうまくいきました。

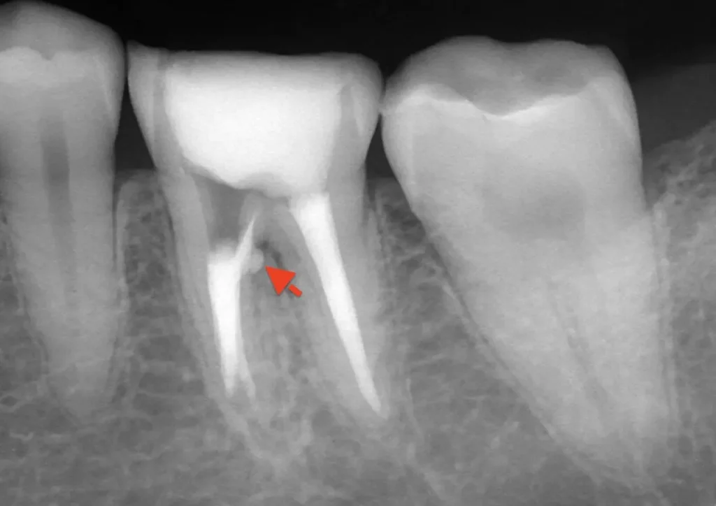
自費根管治療症例7 治療前(感染根管処置、穿孔封鎖)

「銀歯がひどく痛む」

初診時

前医の治療の時に根管に孔が空いたようです

むし歯除去後の写真

管の途中に孔が確認できます

術前

銀歯です

精密根管治療(自費根管治療)治療開始

精密根管治療(自費根管治療)、治療回数3回、治療期間約1週間、治療費(大臼歯再治療)15万3千円+4,500円X2回  ジルコニアクラウン6万9千円

治療後

症状は消失、補綴処置は他院にて予定。

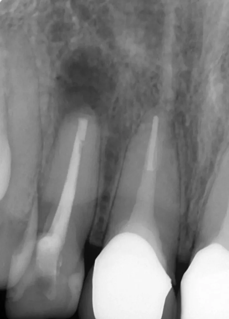
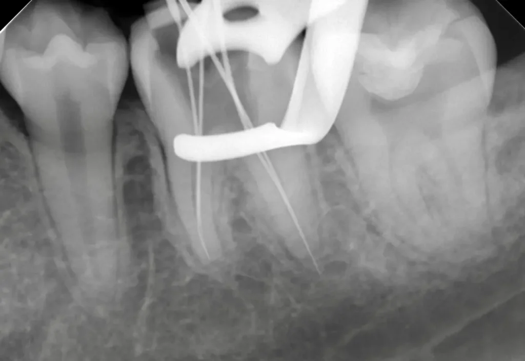
術中(ポイント試適)
レントゲン写真

孔はMTAセメントで封鎖しました

術後レントゲン写真

根管充填もMTAセメントによる穿孔封鎖もうまくいきました

術後2年後レントゲン写真

根の周りの黒い影がなくなり、骨もほとんど回復して、痛みもありません

術中後口腔内写真

ジルコニアクラウン

治療の特徴

根管治療では、ラバーダムシートの使用、無菌的操作と生物学的な裏付けのある確実な治療が大切です。これは穿孔封鎖の場合も同様で、成功率、将来性に大きく影響します。ラバーダム防湿は必須です。MTAセメントは副作用もなく封鎖性、安定性がよく、学術的にも臨床的にも予知性の高い材料です。

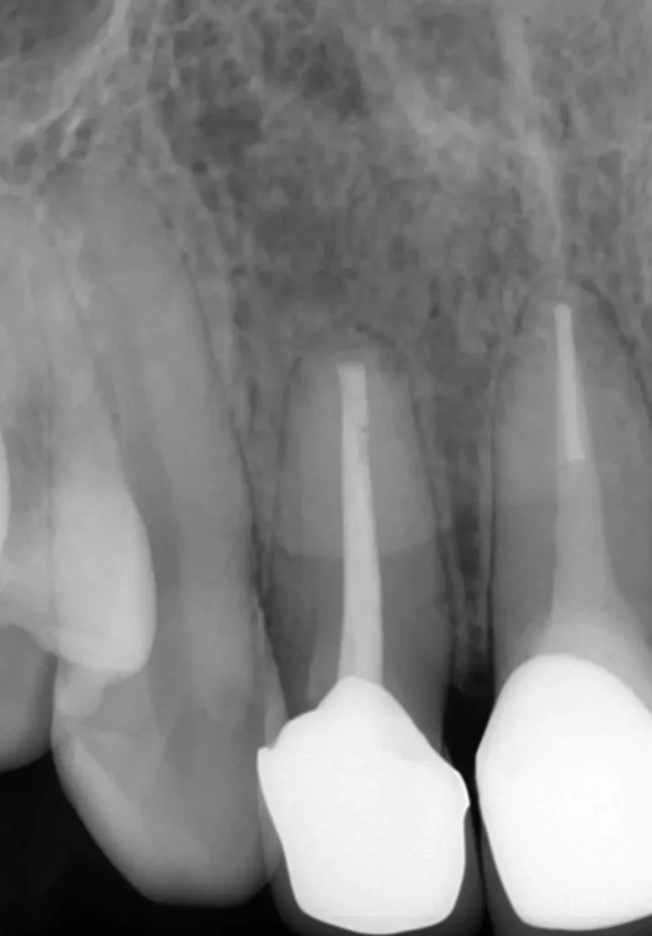
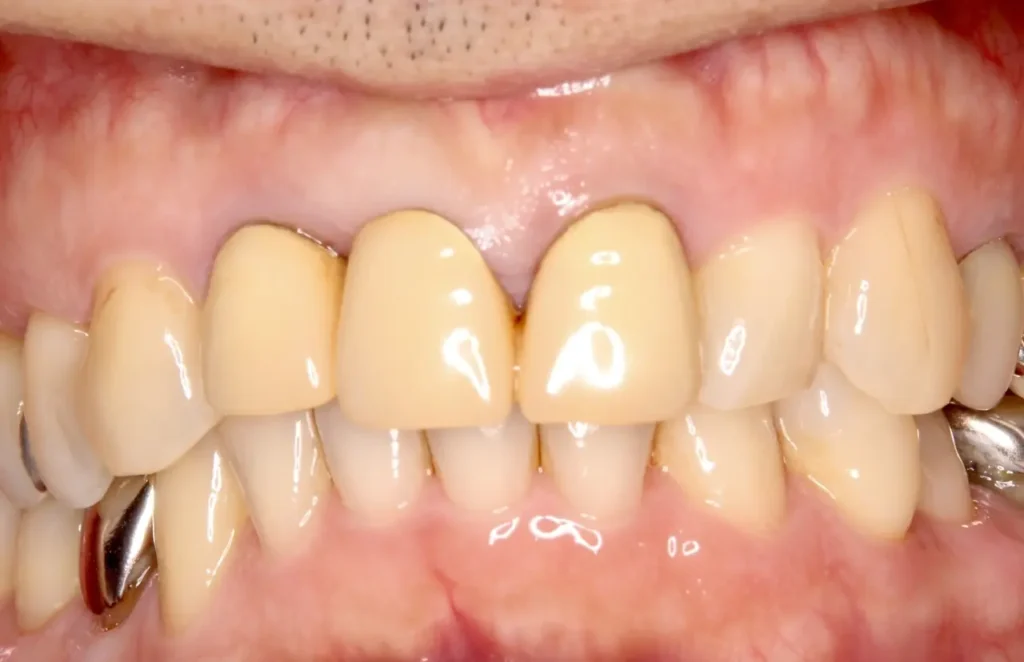
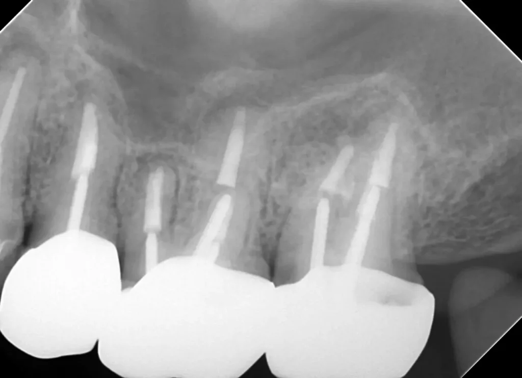
自費根管治療症例8 治療前(ブリッジ、歯髄失活歯)

「歯ぐきを押さえると痛い」

初診時

歯ぐきには異常は見られません

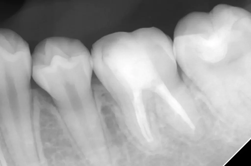
レントゲン写真

右の根の先に黒い影があります

精密根管治療(自費根管治療)治療開始

精密根管治療(自費根管治療)、治療回数2回、治療期間約1週間、治療費(前歯初期治療)5万8千円x1回+4,500円X1回  オールセラミクスクラウン3本ブリッジ  17万円X3  単冠17万円X1

治療後

症状は消失、ブリッジで治療しました。

5年後レントゲン写真

黒い影もすっかりなくなっています

5年後レントゲン写真

治療後も予防歯科に通われ、予後良好です。

治療の特徴

神経(歯髄)は、虫歯がなくてもゆっくりと失活(神経が元気なくなって死ぬこと)することもあります。症状もゆっくりでレントゲンで初めて確認されることもあります。この場合も根管治療が必要となります。

健診・歯石取り・歯のクリーニング・予防歯科などもご予約いただけます。3ヶ月先のご予約もお気軽にどうぞ。当日のご予約も可能です。

099-227-0118
友だち追加

Lineチャットでのお問合せ(診療時間内)

診療日について

診療時間

×

診療時間:  : 9:00~17:30
     ●:9:00~16:00
休診日:日曜、祝日、年末、8月お盆

099-227-0118

〒892-0847
鹿児島市西千石町11-30 富士火災ビル1階

鹿児島市電高見馬場電停1分