お電話でのご予約・お問合せはこちら
矯正治療(成人)- 成人歯科矯正治療症例
当院での歯並び噛み合わせの治療をご紹介します。
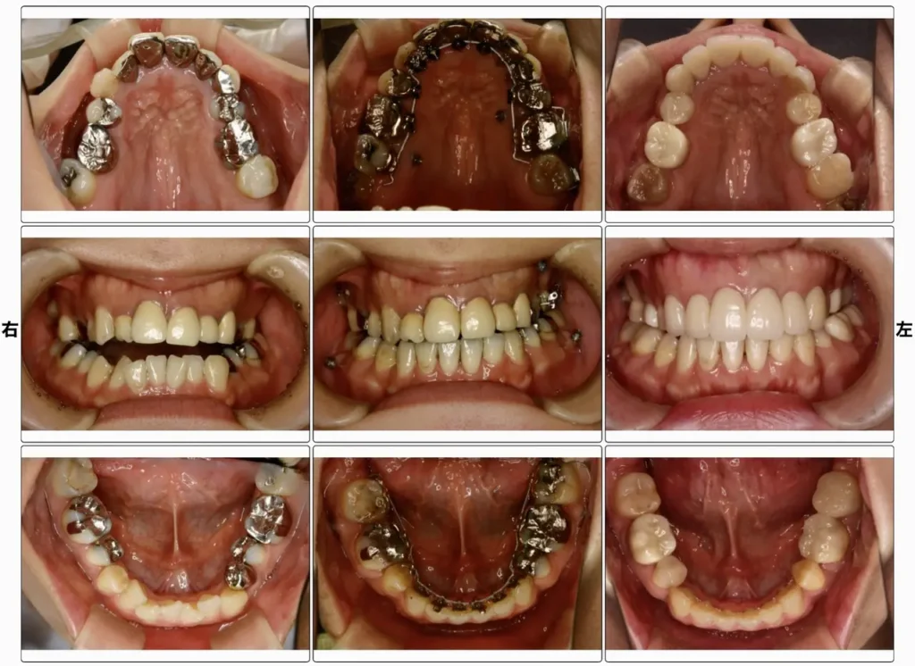
症例1 開咬
「奥歯でしか咬めない、食事がしにくい」
舌側矯正治療(装置名:インコグニート)150万円 月1回の調整(7,000円)

舌側矯正(歯の内側矯正)で対応、噛み合わせだけでなく歯並びも良くなり、銀歯も被せ直しました。
治療期間2年。
治療の特徴
開咬は、咬み合わせが開いて一部でしか歯が咬んでない状態で、前歯が開いている症例が多いです。原因は、舌突出癖(前歯で舌を挟んで飲み込む)が多いです。舌突出癖があると様々なお口の機能障害が出やすく、かみ合わせや歯並び、呼吸、嚥下に問題が出ます。矯正治療中、治療後も正しい舌の位置の獲得訓練、お口周辺の筋機能訓練(MFT)なども一緒にやらないと治療もうまくいきませんし、治療後もまた開いてしまいます。難しい治療です。
舌側矯正は、歯の裏側に装置をつけて行う矯正で、治療中の見た目の良さが最大の利点です。欠点は、裏側なので頑張ってお手入れをしなくてはいけません。治療ゴールは、表側からでも裏側からでも同じです。治療のスピードも変わりませんが、コンピュータ上で装置を設計、ワイヤーもロボットが曲げてくる完全オーダーメイドなので正確さは高いかもしれません。
症例2 上顎前突、叢生
「出っ歯がきになる。」
舌側矯正治療(装置名:インコグニート)150万円 月1回の調整(7,000円)

舌側矯正(歯の内側矯正)で対応、上顎のみ小臼歯抜歯。銀歯も被せ直しました。
治療期間2.5年。右が、術後5年後。
治療の特徴
上顎前突症(出っ歯)は、歯並びの次に相談の多い不正咬合です。大人の出っ歯の矯正治療の場合は、程度によりますが、抜歯を伴う治療になることもがあります。この症例も舌側矯正(歯の裏側)を行いました。
症例3 叢生
「歯並びがきになる。」

アライナー治療(インビザライン )片顎500,000円 ワイヤー矯正(セラミックブラケット)550,000円 月1回の調整(7,000円)

左より、術前、術中(小休止抜歯)、治療終了3年後。上下顎小臼歯抜歯、上顎マウスピース矯正、下顎セラミックブラケットワイヤー矯正(治療期間1年半)
治療の特徴
軽い叢生の場合は、マウスピースタイプの矯正治療で十分可能です。今回のようなよく見える上顎の方をマウスピース矯正や舌側矯正、下顎を普通のワイヤー矯正で、と組み合わすことも可能です。



