お電話でのご予約・お問合せはこちら
歯の移植治療症例
当院での歯の移植治療症例をご紹介します。
歯の移植治療 症例
治療前
左下の奥歯が根が割れて保存不可能です。奥の咬合わせの余っている親知らずを移すことににしました。移植した歯は、根管治療とクラウン修復が必要です。
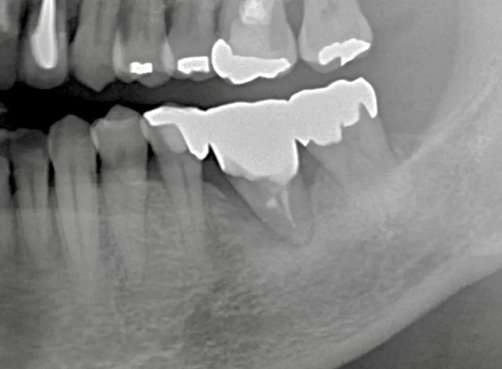
初診時

奥3番目の歯の根が割れています。
術中

長年の放置で土手の骨が吸収。
自家歯牙移植術
自家歯牙移植(保険治療)、治療回数1回。精密根管治療(自費根管治療)、治療回数2回、治療期間約1週間、治療費(大臼歯初期治療)147,000円+5,000円X1回。ジルコニアクラウン72,000円、治療回数2回。治癒期間含め3ヶ月間。
治療後
症状はなし、経過3年。
術後

移植直後は支える骨が少ないです。
術後3年経過

骨もしっかり増生してよく機能しています。
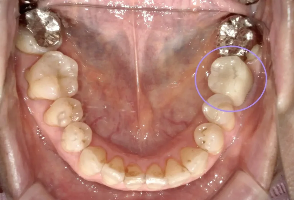
3年経過口腔内写真

お手入れもうまくいって炎症もありません。
3年経過口腔内写真

奥から2番目、審美性も機能も維持されています。
治療の特徴
自家歯牙移植は、余っている親知らずなどあれば、インプラントの前に考慮するのもよいでしょう。ただし、移植する歯の状態や、抜歯の難易度でできない場合もあります。歯根膜という根の表面の線維を傷つけないように、また、抜歯操作の力で歯が割れたりしないように慎重で、無菌的処置が重要です。
また、移植する歯はいったん、体から離れるので歯髄(神経)は死んでしまいます。幼若な歯を除いて根の治療(抜髄)が必要です。親知らず以外の歯の移植は、保険適用外になっています。



